早田歯科医院へようこそ(インプラント、審美歯科なら当院にお任せください) インプラント/審美歯科 :早田歯科医院
インプラント/審美歯科 :早田歯科医院
インプラント/審美歯科 :早田歯科医院
インプラント/審美歯科 :早田歯科医院 インプラント/審美歯科 :早田歯科医院
■Menu
HOME
治療例
Case Report
入れ歯の種類
歯の保存
審美治療
インプラント
ホワイトニング
歯周病治療
骨造成
記憶より記録
院長の3日坊主
ZAKKA
LINK

 

 


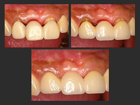
 機能に注意をはらいながら、そのうえで白くきれいな冠を入れるように気をつけています。自然観を重視し、削らなくてよい歯は、なるべく触りません。

 ・オベイトポンティック
 
 
 
 ・ラミネートベニア
(矯正は、専門医によるもの)

 

インプラント/審美歯科 :早田歯科医院
(C) Copyrights 2004 HAYATA DENTAL OFFICE.All Rights Reserved.
インプラント/審美歯科 :早田歯科医院